Dr Rajesh Ahal
The teeth due to the different types of forces that are exerted during trauma can be saved revived and last many years. The traumatized teeth do not need to be extracted unless they are not salvageable. Natural tooth is always better than an artificial one or a dental implant. The outcome of dental trauma management is highly variable as the same is dependant on many factors. Two most important factors have been shared above – Management to be initiated within the Golden Hour ( If no other serious general conditions are not there) and the fractured pieces being kept in cold water or saline. The other multitude of factors-range from the nature and severity of the injury, the time elapsed before receiving dental care, to the quality and continuity of post-treatment follow-up. Whether affecting a single tooth or multiple teeth, such injuries often necessitate both immediate intervention and long-term clinical monitoring to ensure optimal recovery and function. Luxation injuries are more common in Deciduous and mixed dentition ( both milk and permanent teeth are present) whereas, crown fractures are more common in Permanent dentition. The Trauma to Teeth generally occur more in 2 to 6 years, 9 to 18 years of age as shared with multiple studies over the last century. Therefore, these parents should be careful during these age groups.
A smile is often the first impression we leave behind, and our teeth are its shining jewels. Yet, dental trauma-injury to the teeth and surrounding structures-has long been underestimated. A chipped front tooth, for instance, is frequently ignored, leaving it vulnerable to hot, cold, sweet, and sour foods that can irritate the inner nerve and blood vessels. Over time, this can lead to irreversible damage.
Immediate attention is crucial. Ideally, a dental professional should assess the injury within the first hour-referred to as the “Golden Hour”-to ensure the best possible outcome. If a tooth fragment breaks off, it can often be Reattached. The key is to collect the broken pieces carefully, store them in cold water or saline, and avoid handling them excessively. Let the dental surgeon manage the same for rehabilitation.
Teeth subjected to trauma can often be saved and remain functional for years. Extraction is rarely the first option unless the tooth is beyond rehabilitation. A natural tooth is always preferable to an artificial replacement or implant. However, the success of dental trauma management depends on several factors-chief among them are the Golden Hour, timely intervention and proper handling of broken fragments. Other considerations include the severity of the injury, the time elapsed before treatment, and the consistency of follow-up care. The dental surgeon should be informed telephonically of the impending visit to allow them to create time to handle and render rehabilitative services in time.
Different types of injuries affect different age groups and dentitions generally. Luxation injuries-where teeth are displaced-are more common in children with mixed dentition (both milk and permanent teeth), while crown fractures are more frequent in permanent teeth. Studies over the past century show that dental trauma is most prevalent among children aged 2 to 6 and adolescents aged 9 to 18. Parents should be especially vigilant during these years.
There are remarkable cases where reattached tooth fragments have lasted over 14 years, thanks to diligent post-trauma care. Regular clinical and radiographic follow-ups are essential to monitor healing and bone health. If the pulp-the tooth’s inner tissue-is not exposed, root canal therapy (RCT) is usually unnecessary. The pulp often goes into shock after trauma and may take 21 to 25 days to recover. Only if follow-up X-rays reveal unwanted changes RCT is considered.
In some cases, a splint may be placed to stabilize the teeth and allow surrounding bone to heal. Timely follow-ups are vital to prevent the root from fusing with the bone-a condition known as ankylosis, which is undesirable.
Modern dentistry has embraced a philosophy of minimal intervention. Minimally Invasive Dentistry (MID) focuses on preserving natural tooth structure. If a front tooth is chipped or broken, it can be restored to its natural appearance using advanced materials like nano-cluster composites, which deliver enhanced aesthetics. Crowns are now reserved for cases of significant tooth loss, while veneers offer a more conservative option when sufficient tooth structure remains. Reattaching broken fragments within the Golden Hour not only improves aesthetics but also reduces the likelihood of needing RCT.
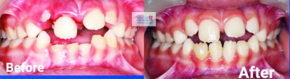
Consider the case of a seven-year-old child above, who suffered dental trauma. The upper front teeth were displaced, and the lower front teeth were fractured. The upper teeth were repositioned, and the broken fragments of the lower teeth-brought in cold water-were successfully reattached. None of the affected teeth had pulp exposure, and no RCT or crowns were required. Regular follow-ups ensured proper healing of the surrounding tissues, as confirmed by clinical photographs shared.
This example underscores the importance of timely, conservative care and the role of parents in ensuring consistent follow-up when mandated. Dental trauma management should not be confused with jaw fractures, which require a different approach. Moreover, dental injuries should only be addressed once other bodily injuries-if present-have been stabilized by orthopedic, maxillofacial, or neurosurgical teams. Once jaw fractures have been stabilized dental trauma can be addressed.
We hope this article raises awareness about the possibilities of treating dental trauma and the critical steps that can lead to successful rehabilitation. A prompt response, proper handling, and ongoing care can make all the difference-preserving not just teeth, but the confidence and comfort that come with a healthy smile.
