Dr Ritu Ahal and Prof Rajesh Ahal
As a pediatric dentist with 27 years of experience, I still often encounter parents who are uncertain about the importance of treating their child’s milk teeth, just because they will fall off by 14 years of age. Many wonder whether it’s worth filling and preserving these temporary teeth. Here’s why addressing dental issues in milk teeth can be highly beneficial for your child’s long-term dental health.
The Case for Early Treatment
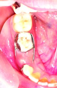
Consider the case of a 5-year-old patient whose lower second milk molar was affected by a condition known as Molar Hypomineralisation. The tooth was filled to address the decay.

The Positive Outcome: Two years later, the permanent molar erupted in its intended position behind the same. This early intervention prevented the decay from impacting the alignment of the permanent teeth. If the milk tooth had not been treated, the space left by the decay could have caused the permanent molar to erupt improperly, potentially leading to future orthodontic issues and the need for braces.
Why Filling Milk Teeth Matters
* Prevents Misalignment: Filling a decayed milk tooth helps maintain the proper spacing for the permanent teeth, as the Leeway Space of Nance is preserved. This avoids misalignment and reduces the need for braces later.
* Avoids Pain and Discomfort: Untreated decay can progress, affecting the tooth’s nerves and causing severe pain, discomfort, and difficulty in eating. Early treatment can prevent these issues.
* Minimizes Further Procedures: When decay is not managed, it may lead to more complex treatments such as a Baby Root Canal (RCT) to alleviate pain and preserve the space for permanent teeth. Timely fillings can prevent the need for such procedures.
* Preserves Chewing Efficiency: Saving the milk teeth ensures that your child can chew properly, which is crucial for their nutrition and overall health.
Filling Materials Choices for Kids’ Teeth: What You Need to Know
When it comes to treating cavities in children’s milk teeth, different filling materials are used, each serving a specific purpose:
* Temporary Fillings: These are used to test if the decay has effected deeper into the tooth. Common types include Kalzinol and IRM. Kalzinol lasts only a few days, while IRM can last a few weeks. However, these materials are not perfect; they can absorb moisture and may allow further decay, so they’re just a short-term solutions.
* Intermediate Fillings: Resin Modified Glass Ionomer Cements (RMGIC) fall into this category. These fillings bind well with the tooth and help prevent further decay. They are better than temporary fillings but still not meant to last longer, hence the term “intermediate.”
* Longer-Lasting Fillings: Nano Cluster Composites are the top choice for long-term durability. They can last for years if the child allows the same to be placed as per protocol as they bond to the tooth. These fillings are also great for maintaining a natural appearance and function.
What If the Decay Reaches the Tooth’s Nerve?
If the decay reaches the nerve (or pulp) of your child’s tooth, you might notice symptoms like pain, trouble chewing, or even a boil or pus on the gums. In such cases, the tooth may need a procedure called Partial Pulpectomy or Baby Root Canal (RCT). This involves examining the tooth with an X-ray to ensure the roots are healthy enough for the treatment. The process typically takes 2 or 3 visits by making the tooth go to sleep, and can save the tooth, allowing it to be properly filled with a durable material. This treatment helps preserve space for the permanent teeth, ensuring they come in straight and avoiding future braces issues.
What If the Tooth Can’t Be Saved?
If an X-ray shows that the decay has damaged the tooth’s roots beyond repair, the tooth will need to be removed. Before the extraction, a space maintainer is prepared to keep the gap open for the permanent tooth, which is placed after the milk tooth removal. This prevents alignment issues and the potential need for braces later.
By understanding these options, you can make informed decisions about your child’s dental care and help ensure their smile stays healthy and well-aligned.
In summary, addressing dental issues in milk teeth through fillings and preventing deleterious habits, not only prevents immediate pain but also safeguards the alignment and health of the permanent teeth. Investing in early dental care for your child can save them from more extensive treatments and ensure a healthier smile in the future. Prevention is Always Better than Cure.
