LANCASTER, Mar 17 : We have all found ourselves in a place we would rather not be, a school reunion, the never-ending work meeting or a distant relative’s wedding reception. In such situations, it is often a good option to make the best of it. Well, this isn’t just the case for people, it is also an occurrence in the world of parasites – those lifeforms that live in and on us. This was the case for Taenia solium, or pig tapeworm which found itself in an unlikely place.
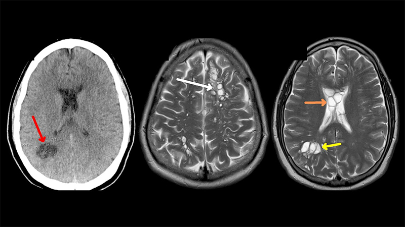
A middle-aged man from Florida with a history of migraines went to the doctor as his headaches were becoming worse and weren’t responding to his usual drugs. The 52-year-old was sent for a CT scan, which revealed something alarming: his brain was infested with tapeworm cysts.
The most common route of infection is eating undercooked infected pork that contains tapeworm cysts, known as cysticercus.
When the parasite senses the digestive juices of your small intestine, it then knows it is time to use its curled hooks and four suckers and attach to your gut. Once here, the tapeworm is living its best life; growing to around two metres long and potentially making a home in you for up to five years.
During this time, the parasite will release thousands of eggs, either individually or via releasing segments of its body packed full of eggs, which all pass out in your faeces. This form of infection is largely symptomless and easily treated with antihelminthics (anti-parasite drugs) with minimal complications.
Although the reported patient acknowledged a habit of eating undercooked bacon, this would not explain the parasite being found in his brain, as consuming cysticercus in undercooked pork would only result in an intestinal infection.
Poor hygiene is the likely cause
The authors of this new study therefore hypothesised that the patient may have been infected with the intestinal form of the parasite and re-infected himself with eggs passed in his faeces through poor hygiene.
In countries with limited sanitation and where faeces can be used as fertiliser, the eggs people pass are usually eaten by pigs. Once in the pig, they hatch and make their way to the pig’s muscle to form cysticercus, waiting to be consumed again by humans.
In this case, the parasite has reverted to the cysticercus form and while seeking out muscle has accidentally made its way into the brain via the blood stream resulting in a condition called neurocysticercosis. The parasite has still made the best of the situation, as it could carry on its lifecycle if scavenged following the death of the host.
Neurocysticercosis is also treated with antihelminthics, but the resulting immune response in the brain can cause more harm than good and needs to be turned down with anti-inflammatory drugs.
The reported patient opted for this dual treatment and is recovering with reduced brain lesions and headaches.
If untreated, neurocysticercosis can lead to seizures and is a leading cause of epilepsy in developing nations with poor sanitation where cases are prevalent. With increased immigration from countries where the tapeworm is endemic, there is also an increase in cases even in countries where reports in livestock are rare.
The best way to avoid this unwanted guest in your intestine, or brain where neither host nor parasite are happy, is good personal hygiene. Pigs are traditionally a host for many parasites – after all, there is a reason pork was forbidden in many cultures, and I personally avoid the current fashion for “rare” pork, even in the fanciest restaurants. Take a cue from the parasite: make the best of the situation and opt for fully cooked pork and you will be fine. (The Conversation)
