Dr K K Pandey
drpandeykk@gmail.com
You should not be surprised, when your physician while finding the cause of your persistent fever cracks the bad news about presence of pus in your chest after your physical examination. A patient who is suffering from pus inside the chest neither knows where to go nor there are anyone who can advise him correctly. The net result is that on one hand this medical condition is overlooked and secondly the possibility of taking a wrong course of treatment increases considerably and, in the end, it is the only patient who suffers the most and he pays either by losing his lung or by losing his life.
How to identify collection of pus inside the chest?
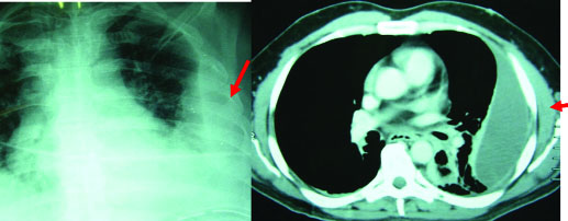
Such patient suffers from fever all the time, but during the daytime fever is less in degree and does increase rapidly during the evening or night-time. Along with the fever, patient complains of excessive sweating all the time. There is a desire to cough but on coughing either nothing or a small amount of phlegm comes out. On coughing patient feels pain in the chest especially on the side of pus collection. If you have suffered from pneumonia infection one month before or you have received previously a chest injury and you find that even after one month of infection or chest injury you are still suffering from cough and fever, do not sit idle and immediately get the chest x-ray done. in standing position. This will confirm the diagnosis of pus in chest is almost 95% case. There are two advantages of doing chest ultrasound examination, firstly it will confirm the presence of pus or water inside the chest cavity and secondly it will quantify the amount of pus collected therein, so that the correct strategy of treatment can be formulated.
Other investigations Required
What is this pus collection inside the chest all about?
There is an empty space between chest wall and lung. When we breathe lung expands and fills up completely this empty space. This empty space in medical terms is called ‘pleural space’. When due to any reason this empty space gets filled up with pus, this condition in medical terms is called ‘Empyema thoracic’. Empyema thoracics simply means in common man’s language a collection of pus around the lung inside the chest.
Why does pus collect inside the chest?
The most important reason of pus collection inside the chest is either an infection of pneumonia or tuberculosis in lung. A significant amount of pus-like water collects around the lung. If this infection is not controlled effectively, the same accumulated water in the empty space converts completely into pus.
Role of Chest Injury in Causing Pus Collection inside the Chest
One more important reason of pus collection inside the chest is the chest injury. In a road traffic accident, fracture of ribs is a common occurrence and this leads to injury of lung and collection of blood inside the chest. If that collected blood inside the chest is not removed in time, the possibility of catching infection and accumulated old blood converting into pus increases considerably.
OTHER REASONS OF PUS COLLECTION INSIDE THE CHEST
There are other reasons for pus collection inside the chest, for example: perforation of a food pipe situated inside the chest due to injury or cancer, infection of back bone or after lung operation due to the development of a condition called B.P.F. (Broncho pleural fistula).
Sometimes liver abscess is neglected burst into chest cavity accumulation of pus is and the chest.
Mismanagement sometimes leads to more problems
It has been observed that in developing countries when children suffer from pneumonia and pus-like water collects around the lung inside the chest, our child specialist himself tries to take out pus-like water in small quantities through injection at repeated short intervals. With the result of such treatments, pus is never evacuated from the chest completely. Inadequate removal of pus-like water from the chest cavity creates two main problems, firstly infection is never eradicated, no matter how many strong and effective antibiotics we use and secondly, there is a likelihood of developing a medical condition called ‘Broncho Pleural Fistula (B.P.F.)’. This condition will result into either loss of lung or loss of life.
What to do if there is pus in the chest
First of all, consult an experienced Thoracic or chest surgeon and get treated under his supervision. Always go to a hospital where a thoracic surgeon is available 24 hours a day. If it is the initial days of pus accumulation, success can be achieved by inserting a tube in the chest and removing the pus, and by putting some pus-dissolving medicines. If it has been only a month since the pus has accumulated in the chest, then the inside of the chest is cleaned and cleared of pus with a thoracoscopy or arobot. If it has been more than a month since the pus has accumulated in the chest, then an open surgery has to be done in the chest to thoroughly remove the pus and its debris from the chest cavity and irradicate infection from the chest permanently.
(The author is Senior Thoracic & Endothoracic Surgeon Indraprastha Apollo Hospitals New Delhi, India)
